去深圳羅湖剝智慧齒(有圖)
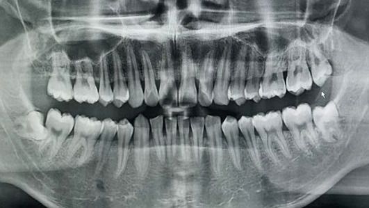
之前刷牙個陣就發現自己下邊排牙右邊最入邊,生咗一粒智慧齒但係仲冇完全生好,當時就覺得係阻生齒,但係果個時候唔痛,我又驚痛又想鏗滴錢,所以就無去搵醫生剝牙。霖唔到前一只牙居然有滴痛,吓得我,就想去睇下牙醫,但係喺香港哩邊好難預約,自己又唔想忍,唔想等。
啱啱好,有個朋友介紹我去深圳個邊嘅一間政府註冊嘅牙科診所,佢去果度睇過牙,覺得幾好,又幾平。我霖係朋友介紹嘅,而且又比較急,就按照朋友俾嘅聯繫方式,預約睇牙。打完電話,先知佢哋係連鎖來嘅,提供粵語接診服務,提前預約免問診金,又係按照港醫標準接診嘅,診所距離羅湖口岸好近,只需十分鐘車程,而且仲提供專車接送,仲可以自己搭的士過去,佢哋提供報銷。我一開始聽佢哋講得咁好,都係有啲驚嘅,要去大陸個邊,驚被人厄,但又霖住係朋友去過,牙又痛,冇辦法就決定過去睇下,檢查下先,又問咗剝智慧齒嘅價格,佢哋話係千二蚊人民幣,咁聽落又幾平,去睇睇先。

我係要求專車接送,因為不識路,驚蕩失路,按照佢哋發俾我預約成功嘅信息,我到咗羅湖口岸後,就喺附近等佢哋嘅專車,霖唔到,佢哋提前喺果度等我。接送人員有統一服裝,都算有禮貌,又識講粵語,感覺親切滴,冇咁驚,就直接上車去到診所,第一感覺係診所好乾淨,醫生同姑娘都幾nice嘅,我偷偷喺前台果度影咗幾張相。


跟住就係醫生檢查治療,照完CT,果個醫生檢查完後,就話係阻生齒,最好剝咗佢,唔係嘅話,就會頂壞隔離嘅牙。我又一次問價錢,因為好多人都話大陸裡邊會亂加錢,醫生就話係千二蚊,同之前報價一樣,我霖咗下,就決定俾佢剝。


果個醫生叫我訓喺牙椅上,叫我先漱口,然後幫我檢查牙齒,打麻醉。牙椅設備幾好,仲有個屏幕可以睇自己牙齒嘅情況,醫生幫我打咗麻醉後,等麻藥起效之後就開始剝。剝個陣我係瞇著眼嘅,唔敢睇,因為麻醉嘅效果,所以冇feel到痛。憑感覺,大概知道佢先係切開我嘅牙肉,再用唔知乜嘢機器將果粒牙割開,然後再夾出來,果個醫生手勢幾好,冇幾耐就搞定咗,因為傷口比較細,所以唔使縫線,成個過程就結束咗。
牙齒唔好睇,就唔post相上嚟了。
最後就係摞藥埋單,果個醫生叫我按時食藥,假如有乜唔舒服就及時聯繫佢啲。

最後,佢啲又專車送我過去羅湖口岸過關。成個過程落嚟,冇咁驚,覺得幾好添。按時食藥都唔係好痛,只係食野唔係幾舒服,幾日後就唔痛了,近排恢復得幾好。以後牙齒有問題就過去果度睇,交通都幾方便嘅。
啱啱好,有個朋友介紹我去深圳個邊嘅一間政府註冊嘅牙科診所,佢去果度睇過牙,覺得幾好,又幾平。我霖係朋友介紹嘅,而且又比較急,就按照朋友俾嘅聯繫方式,預約睇牙。打完電話,先知佢哋係連鎖來嘅,提供粵語接診服務,提前預約免問診金,又係按照港醫標準接診嘅,診所距離羅湖口岸好近,只需十分鐘車程,而且仲提供專車接送,仲可以自己搭的士過去,佢哋提供報銷。我一開始聽佢哋講得咁好,都係有啲驚嘅,要去大陸個邊,驚被人厄,但又霖住係朋友去過,牙又痛,冇辦法就決定過去睇下,檢查下先,又問咗剝智慧齒嘅價格,佢哋話係千二蚊人民幣,咁聽落又幾平,去睇睇先。

我係要求專車接送,因為不識路,驚蕩失路,按照佢哋發俾我預約成功嘅信息,我到咗羅湖口岸後,就喺附近等佢哋嘅專車,霖唔到,佢哋提前喺果度等我。接送人員有統一服裝,都算有禮貌,又識講粵語,感覺親切滴,冇咁驚,就直接上車去到診所,第一感覺係診所好乾淨,醫生同姑娘都幾nice嘅,我偷偷喺前台果度影咗幾張相。


跟住就係醫生檢查治療,照完CT,果個醫生檢查完後,就話係阻生齒,最好剝咗佢,唔係嘅話,就會頂壞隔離嘅牙。我又一次問價錢,因為好多人都話大陸裡邊會亂加錢,醫生就話係千二蚊,同之前報價一樣,我霖咗下,就決定俾佢剝。


果個醫生叫我訓喺牙椅上,叫我先漱口,然後幫我檢查牙齒,打麻醉。牙椅設備幾好,仲有個屏幕可以睇自己牙齒嘅情況,醫生幫我打咗麻醉後,等麻藥起效之後就開始剝。剝個陣我係瞇著眼嘅,唔敢睇,因為麻醉嘅效果,所以冇feel到痛。憑感覺,大概知道佢先係切開我嘅牙肉,再用唔知乜嘢機器將果粒牙割開,然後再夾出來,果個醫生手勢幾好,冇幾耐就搞定咗,因為傷口比較細,所以唔使縫線,成個過程就結束咗。
牙齒唔好睇,就唔post相上嚟了。
最後就係摞藥埋單,果個醫生叫我按時食藥,假如有乜唔舒服就及時聯繫佢啲。

最後,佢啲又專車送我過去羅湖口岸過關。成個過程落嚟,冇咁驚,覺得幾好添。按時食藥都唔係好痛,只係食野唔係幾舒服,幾日後就唔痛了,近排恢復得幾好。以後牙齒有問題就過去果度睇,交通都幾方便嘅。
评论
发表评论